Skip to main content
09/05/2011

Premi al millor treball de recerca per a la Unitat de Recerca Biomèdica i del Servei de Ginecologia de l’Institut de Recerca i Hospital Vall d’Hebrón

2011_0190_2011_0190_IMATGE

09/05/2011

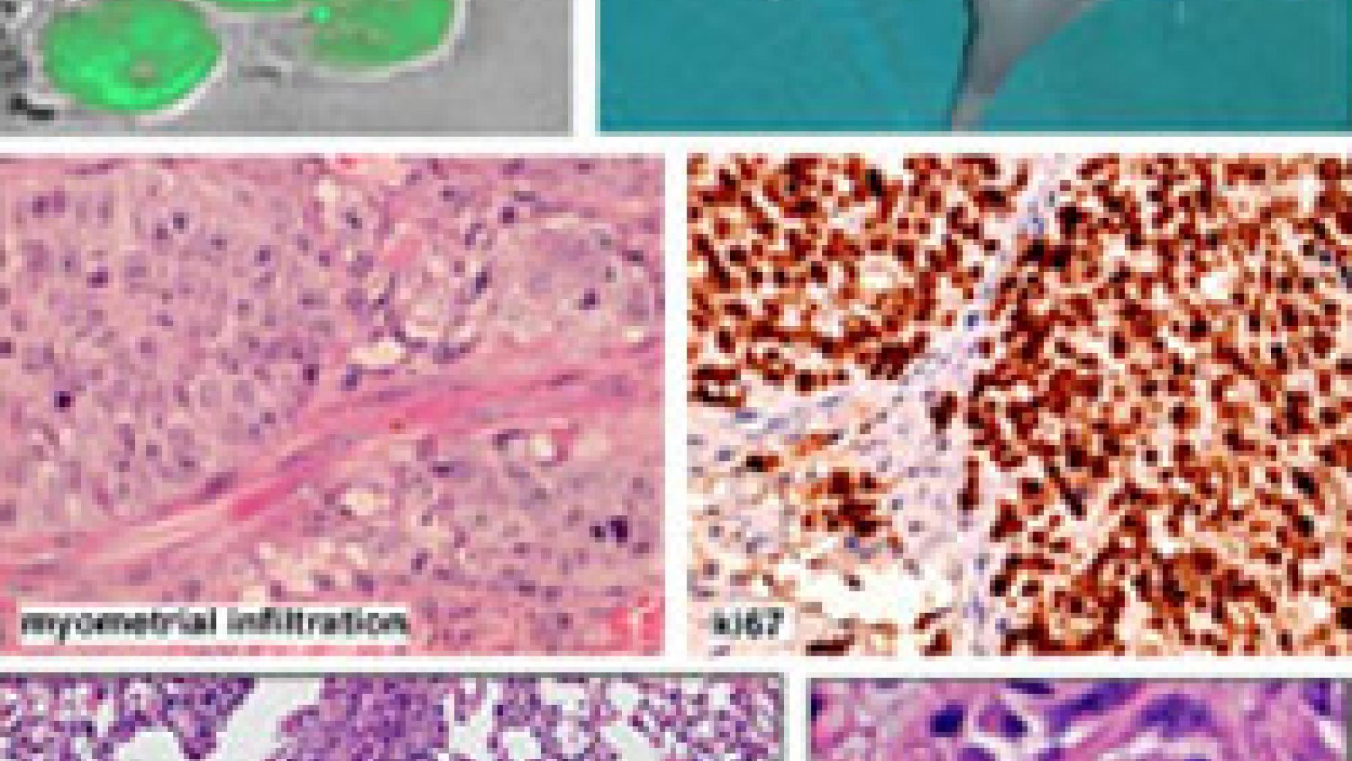
El treball titulat “Modelo experimental ortotópico de invasión y metástasis en cáncer de endometrio”, del grup de recerca de la Unitat de Recerca Biomèdica i del Servei de Ginecologia de l’Institut de Recerca i Hospital Vall d’Hebrón, ha estat guardonat amb el premi al millor treball de recerca en el recent Congrés Nacional de Ginecologia Oncològica i Patologia Mamària de la Sociedad Española de Ginecología y Obstetricia. Els autors de l’esmentat treball són Andreas Doll, Marta González, Miguel Abal, Marta Monge, Antonio Gil-Moreno, Jordi Xercavins i Jaume Reventós.

El treball titulat “Modelo experimental ortotópico de invasión y metástasis en cáncer de endometrio”, del grup de recerca de la Unitat de Recerca Biomèdica i del Servei de Ginecologia de l’Institut de Recerca i Hospital Vall d’Hebrón, ha estat guardonat amb el premi al millor treball de recerca en el recent Congrés Nacional de Ginecologia Oncològica i Patologia Mamària de la Sociedad Española de Ginecología y Obstetricia. Els autors de l’esmentat treball són Andreas Doll, Marta González, Miguel Abal, Marta Monge, Antonio Gil-Moreno, Jordi Xercavins i Jaume Reventós.

Subscribe to our newsletters and be part of the Campus life

We are a world-leading healthcare complex where healthcare, research, teaching and innovation go hand in hand.

CAPTCHA
This question is for testing whether or not you are a human visitor and to prevent automated spam submissions.