Vés al contingut
14/02/2025

Vall d’Hebron i l’ICO implementen la braquiteràpia pediàtrica a l’Estat, un tractament més precís i menys invasiu per al càncer infantil

Braquiterapia
Braquiterapia
Braquiterapia
Braquiterapia
Braquiterapia
Braquiterapia

14/02/2025

El 15 de febrer, Dia Internacional del Càncer Infantil, reivindica la recerca en oncologia pediàtrica per garantir una millor supervivència i qualitat de vida al miler d’infants que cada any es diagnostiquen a l’Estat

Cada any un miler d’infants són diagnosticats de càncer a l’Estat, un centenar a l’Hospital Universitari Vall d’Hebron. Tot i representar un 1% de totes les neoplàsies i considerar-se una malaltia rara, suposa la segona causa de mort en infants i adolescents, per darrere dels accidents de trànsit. Per conscienciar, mobilitzar recursos i incentivar la recerca, el 15 de febrer se celebra el Dia Internacional del Càncer Infantil.

El càncer, en realitat, no és una sola malaltia, sinó moltes malalties amb nombroses causes i diferents pronòstics que tenen en comú una mutació en els gens que causen un creixement descontrolat de les cèl·lules. I en el cas dels infants, les causes, el diagnòstic, l’abordatge i el pronòstic és diferent del d’un adult. La ciència apunta que en les persones adultes aquestes mutacions tenen una relació amb l’envelliment o l’exposició a substàncies cancerígenes. En el cas dels nens i nenes, però, hi ha una base genètica, i al voltant  d´un 10% té origen en una mutació hereditària. Saber les causes continua sent un gran repte mèdic i científic. En les darreres dècades, els avenços han aconseguit elevar la supervivència a cinc anys fins al 83,9% en nens de 0 a 14 anys, segons el Registre Espanyol de Tumors Infantils (RETI-SEHOP). “Però encara queda molt camí per recórrer”, recorda el Dr. Lucas Moreno, cap del Servei d’Oncologia i Hematologia Pediàtriques de l’Hospital Universitari Vall d’Hebron i del Grup de Càncer i Malalties Hematològiques Infantils del Vall d’Hebron Institut de Recerca (VHIR).

Un dels grans reptes és trobar tractaments menys agressius que permetin sobreviure sense seqüeles. Tot i haver-hi menys recerca que en l’àmbit adult, cada any apareixen noves opcions terapèutiques. Una de les més prometedores és la braquiteràpia pediàtrica, una tècnica que ara està disponible per a pacients de tot l'Estat gràcies a un acord entre l’Hospital Universitari Vall d’Hebron i l’Institut Català d’Oncologia (ICO), amb la col·laboració del Servei d’Emergències Mèdiques (SEM).  

Un nou tractament per reduir cirurgies mutilants en nens amb sarcomes

Els tipus més freqüents de càncer durant la infància són les patologies hematològiques (leucèmies i limfomes), seguides dels tumors sòlids. Dins aquest grup estan els sarcomes de parts toves, que representen el 6% dels tumors pediàtrics. Cada any es diagnostiquen entre 65 i 70 sarcomes de parts toves en infants a l’Estat, dels quals la meitat són rabdomiosarcomes (RMS), un càncer infantil agressiu que afecta els músculs.  Més d'un terç d'aquests sarcomes es localitzen a la bufeta urinària, la vagina o l'úter, sobretot en nens i nenes petits, entre els 3 i 5 anys. Fins ara, les opcions de tractament passaven per cirurgies radicals altament mutilants o radioteràpia externa, amb efectes secundaris que comprometien la qualitat de vida dels pacients. Davant d’aquesta situació, Vall d´Hebron i altres centres terciaris de l´estat enviaven els infants a París, on els hospitals Bicêtre i Gustave Roussy han desenvolupat un innovador tractament poc invasiu basat en la braquiteràpia.  

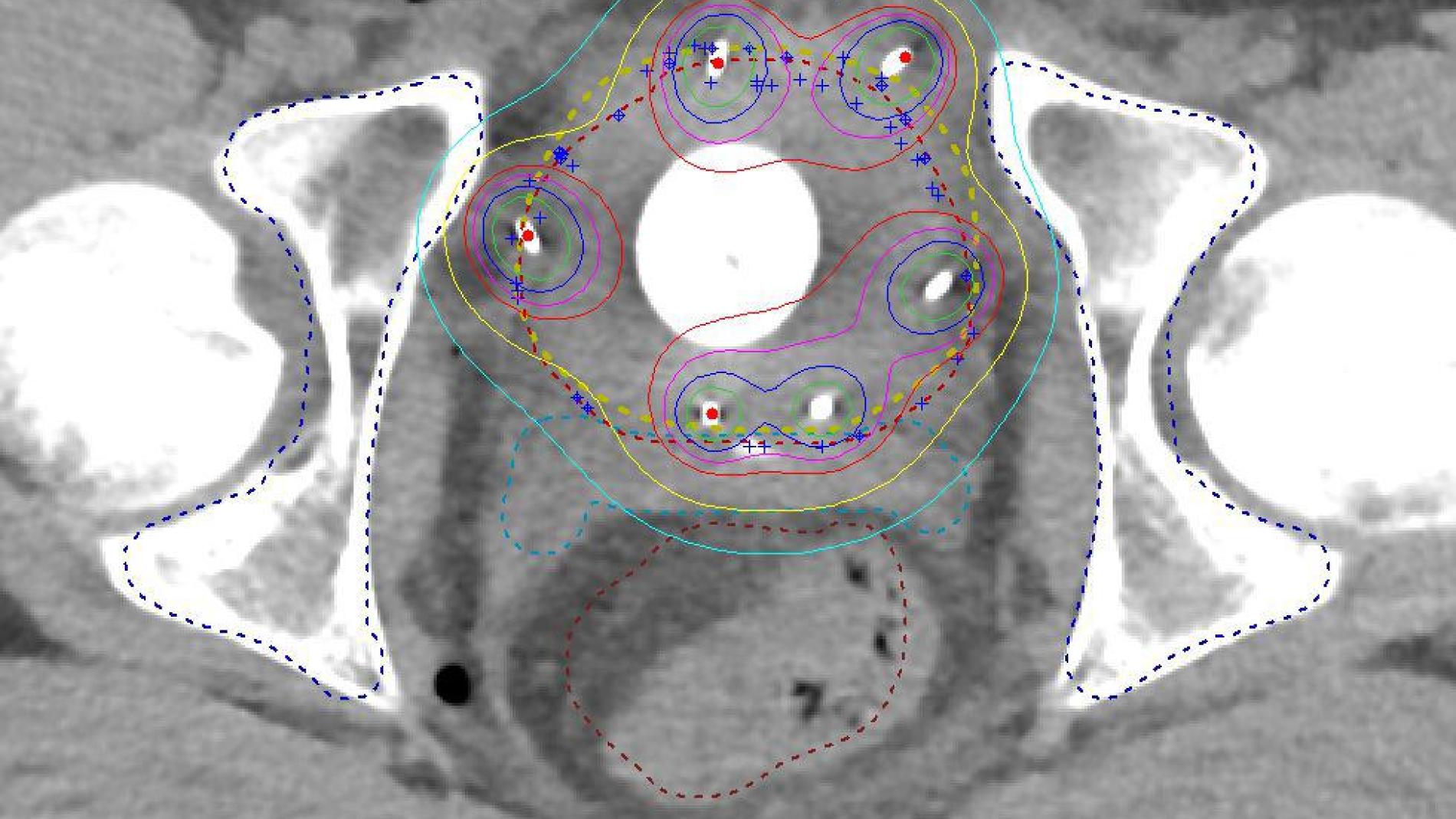
Ara, un equip de professionals de l’Hospital Universitari Vall d’Hebron, liderat per la Dra. Gabriela Guillen, del Servei de Cirurgia Pediàtrica, s’ha format en aquests centres per implementar aquesta tècnica de manera que estigui disponible a tots els centres d'Espanya mitjançant les xarxes de referència anomenades CSUR. La Dra. Marta Martos, adjunta de Cirurgia Pediàtrica, va aprofitar una de les estades formatives a centres internacionals per aprendre la tècnica a l’hospital Bicêtre de París. La braquiteràpia consisteix en la implantació quirúrgica de cànules molt fines dins del tumor, a través de les quals s’administra la radiació de manera localitzada, reduint al mínim el dany als teixits sans. “Aquesta tècnica s’ha demostrat més eficaç que altres formes de radioteràpia en aquestes localitzacions anatòmiques tan especials, inclosa la protonteràpia, i ofereix excel·lents  taxes de curació amb menys seqüeles”, destaca la Dra. Gabriela Guillén. La braquiteràpia redueix l'exposició dels teixits sans a la radiació, un aspecte fonamental en nens en creixement. “A més, en permet l’aplicació d’una dosi localitzada més alta i disminueix significativament el risc de desenvolupar tumors malignes secundaris induïts per la radiació”, precisa. 
 

Un treball en xarxa per a un tractament d’alta precisió
Per fer possible aquesta teràpia, l’Hospital Universitari Vall d’Hebron i l’ICO han establert un protocol conjunt de braquiteràpia pediàtrica, que funciona com un model de referència per a tota Espanya. “Quan un hospital de l’Estat diagnostica un infant candidat a aquest tractament, un comitè multidisciplinari avalua el cas conjuntament amb els especialistes del centre d' origen. Si es confirma que la braquiteràpia és la millor opció, el pacient és derivat a l’Hospital Universitari Vall d’Hebron, centre de referència estatal (CSUR) en sarcomes pediàtrics”, explica la Dra. Gabriela Guillén.  

El procés es realitza en dues fases: primer, els cirurgians pediàtrics de Vall d’Hebron intervenen el pacient i revisen el tumor i l’equip de braquiteràpia de l’ICO implanta els tubs o aplicadors a la zona del tumor. I per rebre la radiació a través d’aquests tubs de manera controlada i precisa, es va i ve de l’ICO a la seva seu de l’Hospitalet de Llobregat. Durant uns cinc dies, l’infant es desplaça entre els dos hospitals en ambulància del SEM acompanyat de la família i un dels professionals de Vall d’Hebron per completar el tractament, que es realitza en dues sessions diàries separades per sis hores. Finalitzat el procediment, torna al seu hospital d’origen per continuar amb el seguiment.  
La Unitat de Braquiteràpia de l’Institut Català d’Oncologia al seu centre de l’Hospitalet de Llobregat és pionera en tot l’Estat i està en funcionament des de l’any 1989. Des d’aleshores ha realitzat prop de 25.000 tractaments a pacients provinents de centre hospitalaris d’arreu del territori català i és referent, a nivell estatal i europeu. En l’actualitat és la Unitat de Braquiterapia més gran en superfície de tot l’Estat espanyol amb una superfície de 1.000 metres quadrats i amb capacitat per a realitzar aproximadament 1.000 tractaments a l’any. 

Un canvi de paradigma en el tractament del càncer infantil  
Aquest protocol permet que infants d’arreu de l’Estat accedeixin a la braquiteràpia amb les màximes garanties de seguretat. La centralització d’aquest tipus de tractaments és clau, ja que l’evidència científica demostra que els millors resultats s’obtenen en centres d’alta especialització com Vall d’Hebron i ICO.  

A més del rabdomiosarcoma genitourinari, la braquiteràpia també es podrà aplicar en altres sarcomes de parts toves, tumors perineals/perianals, i alguns tumors germinals malignes, ampliant així el ventall de pacients que es poden beneficiar d’aquesta innovació.  “Amb aquest acord, sumem l’experiència del Vall d’Hebron en oncologia i cirurgia pediàtriques a la trajectòria de l’ICO en braquiteràpia, oferint una alternativa més segura i eficaç als nens amb sarcomes genitourinaris”, destaca la Dra. Cristina Gutiérrez, oncòloga radioteràpica de l’ICO.  

Aquest avenç suposa un abans i un després en el tractament dels sarcomes de parts toves a Espanya, garantint l'accés per a tots els nens de l'estat independentment de la seva regió d'origen, gràcies a la designació CSUR, i facilitant que cada nen rebi la millor opció terapèutica sense renunciar a la seva qualitat de vida futura.

El camí cap a una medicina personalitzada
El grup de Càncer i Malalties Hematològiques Infantils del VHIR investiga per avançar en la medicina personalitzada aplicada al càncer infantil. Mitjançant l’anàlisi del perfil genètic complet dels tumors pediàtrics, es poden identificar alteracions específiques i seleccionar els tractaments més adequats per a cada pacient. Coordinant esforços amb altres centres, l’equip treballa per garantir que tots els infants tinguin accés a la medicina de precisió. Per detectar alteracions genètiques del tumor de manera menys invasiva, s’està desenvolupant també la tècnica de biòpsia líquida, que analitza mostres de sang o líquid cefalorraquidi.

Els assaigs clínics tenen un paper clau en la recerca del càncer infantil i permeten avançar cap a tractaments més efectius. Vall d’Hebron participa en 50 assaigs, com el BEACON, que ha demostrat que la combinació de fàrmacs antitumorals amb quimioteràpia millora la resposta al tractament i la supervivència en pacients amb neuroblastoma en situació de recaiguda o refractarietat. 

“Quan un hospital de l’Estat diagnostica un infant candidat a aquest tractament, un comitè multidisciplinari avalua el cas conjuntament amb els especialistes del centre d' origen. Si es confirma que la braquiteràpia és la millor opció, el pacient és derivat a Vall d’Hebron, centre de referència estatal (CSUR) en sarcomes pediàtrics”

Notícies relacionades

La iniciativa europea Hope4Kids reforça i harmonitza les cures pal·liatives pediàtriques arreu d’Europa per garantir una atenció integral i de qualitat per a tots els infants amb malalties greus que amenacen o limiten la vida.

La trobada, celebrada a mitjans d’abril a Granada, ha comptat amb una vintena d’intervencions del Campus en els camps de la genètica, medicina fetal i oncologia.

La iniciativa permetrà que joves d’entre 12 i 18 anys col·laborin amb investigadors del campus en el disseny, desenvolupament i comunicació de projectes científics, situant pacients i famílies al centre del procés de recerca.

Professionals relacionats

Gabriela Guillén Burrieza

Gabriela Guillén Burrieza

Investigador/a predoctoral
Càncer i malalties hematològiques infantils
Llegir més
Lucas Moreno Martín-Retortillo

Lucas Moreno Martín-Retortillo

Cap de grup
Càncer i malalties hematològiques infantils
Llegir més
Maria Cristina Díaz de Heredia Rubio

Maria Cristina Díaz de Heredia Rubio

Investigador/a predoctoral
Càncer i malalties hematològiques infantils
Llegir més
Laura Murillo Sanjuán

Laura Murillo Sanjuán

Investigador/a predoctoral
Càncer i malalties hematològiques infantils
Llegir més

Subscriu-te als nostres butlletins i forma part de la vida del Campus

El Vall d’Hebron Barcelona Hospital Campus és un parc sanitari de referència mundial on assistència, recerca, docència i innovació es donen la mà.

CAPTCHA