Skip to main content
16/03/2017

Novel gene causative for adrenal insufficiency syndrome and steroid-resistant nephrotic syndrome

GENHISTO2884

16/03/2017

Journal of Clinical Investigation published the discovery of a novel gene. This gene is also involved in corticoresistent nephrotic syndrome

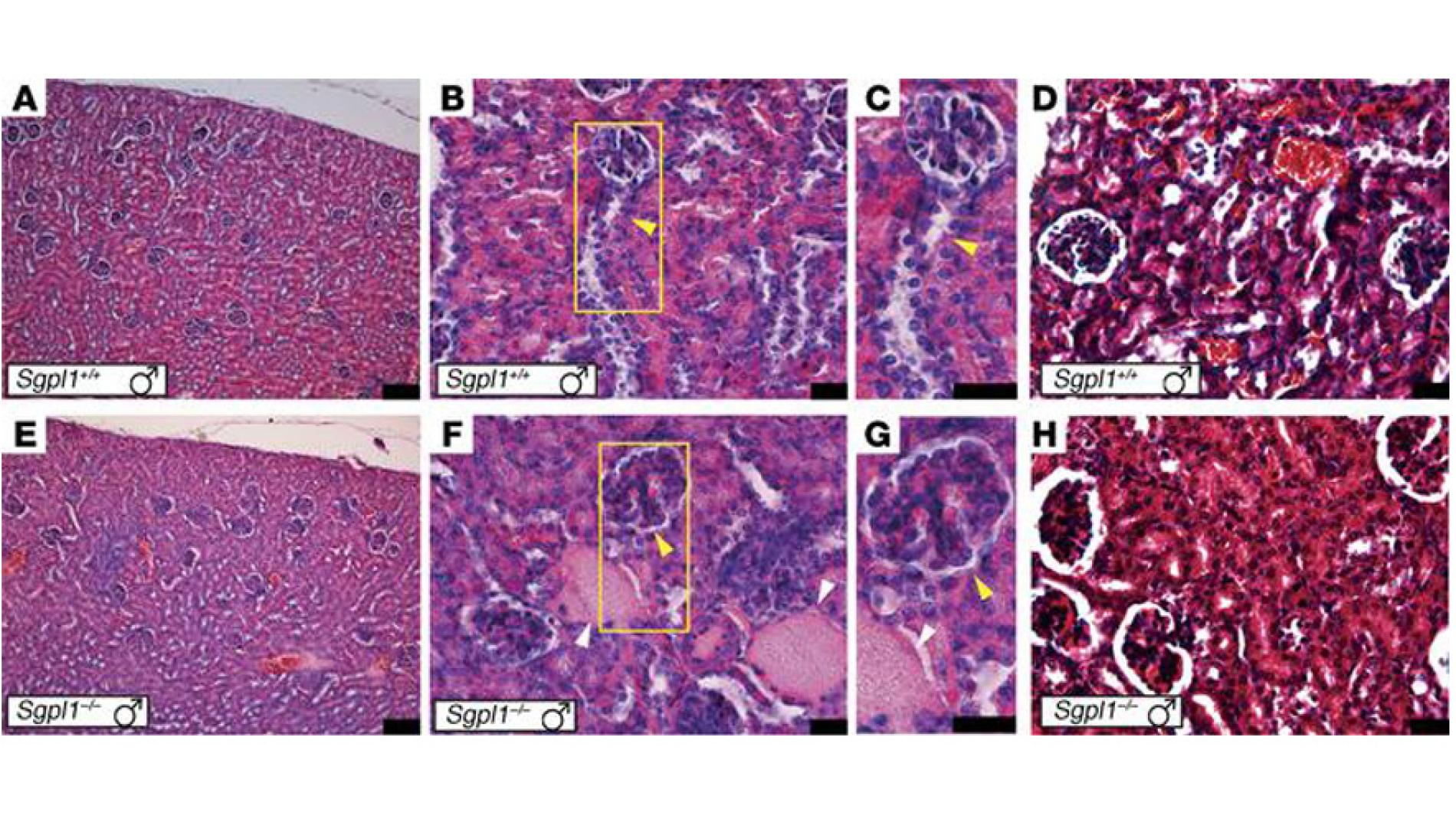
Researchers María Clemente León, Mónica Fernández Cancio, Núria Camats Tarruella and Laura Audí Parera from the http://en.vhir.org/portal1/grup-equip2.asp?s=recerca&contentid=186855 Growth and Development Group, VHIR, directed by Prof. Antonio Carrascosa Lezcano and Dr. Antonio Moreno Galdó, also belonging tohttp://www.ciberer.es/en" CIBERER, have participated in a multicenter study that characterised a new causative gene. The gene Sphingosine-1-phosphate lyase (SGPL1) cause a novel syndrome in patients with kidney and adrenal disease. This research was directed by Dr Louise Metherell, from Queen Mary University of London, and was recently published in thehttp://jci.org/articles/view/90171" Journal of Clinical Investigation.The study included patients from Hospital Vall d'Hebron and from many other hospitals in different countries like UK, Turkey, Pakistan and Peru. Their DNA was sequenced and the defective gene SGPL1 was revealed.The novel genecauses multi-organ disease particularly affecting adrenal glands (adrenal insufficiency syndrome) and kidney (steroid-resistant nephrotic syndrome).This syndrome may represent a new lipid storage disorder similar to Niemann-Pick and Fabry diseases. These diseases are progressive and multi-systemic, often with neurological involvement.Not all patients have the same symptoms: in some kidney disease was predominant and in others was adrenal insufficiency the first to emerge. Moreover, the disease seems to be progressive, with some of the patients with a loss of cognitive and motor skills over time.Specifically, patient from Hospital Vall d'Hebron, which carries a mutation close to SGPL1 gene start, presented steroid-resistant nephrotic syndrome in her first year of life and has been transplanted twice. Later on, she presented with adrenal insufficiency syndrome, ichthyosis and non-autoimmune primary hypothyroidism.Mice used in the study, whom had the same gene defect, present the same main characteristics of the human disease and could be a useful model to test new treatments for this devastating disorder.Adrenal insufficiency syndrome can be fatal if not detected rapidly, for this reason, researchers state that "Genetic diagnosis of these patients will allow for correct treatment, genetic counseling and careful monitoring to ensure any new symptoms are detected early".

Subscribe to our newsletters and be part of the Campus life

We are a world-leading healthcare complex where healthcare, research, teaching and innovation go hand in hand.

CAPTCHA
This question is for testing whether or not you are a human visitor and to prevent automated spam submissions.