Vés al contingut
05/10/2010

Identifiquen una de les raons de la mort neuronal dels malalts de Parkinson

2010_0223_2010_0223_IMATGE

05/10/2010

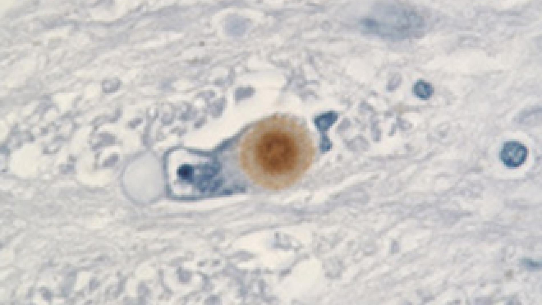
Investigadors del Vall d’Hebron Institut de Recerca (VHIR) presenten els resultats d’un estudi que explica com la presència d’uns cúmuls anormals de proteïnes a l’interior de les cèl·lules nervioses s’associa a la mort neuronal en els malalts de Parkinson. Aquesta investigació planteja també, a nivell experimental, una nova estratègia terapèutica que es podria aplicar potencialment, tot i que no de manera immediata, al tractament d’aquesta malaltia, actualment incurable.

Investigadors del Vall d’Hebron Institut de Recerca (VHIR) presenten els resultats d’un estudi que explica com la presència d’uns cúmuls anormals de proteïnes a l’interior de les cèl·lules nervioses s’associa a la mort neuronal en els malalts de Parkinson. Aquesta investigació planteja també, a nivell experimental, una nova estratègia terapèutica que es podria aplicar potencialment, tot i que no de manera immediata, al tractament d’aquesta malaltia, actualment incurable.

Subscriu-te als nostres butlletins i forma part de la vida del Campus

El Vall d’Hebron Barcelona Hospital Campus és un parc sanitari de referència mundial on assistència, recerca, docència i innovació es donen la mà.

CAPTCHA