Vés al contingut
20/10/2009

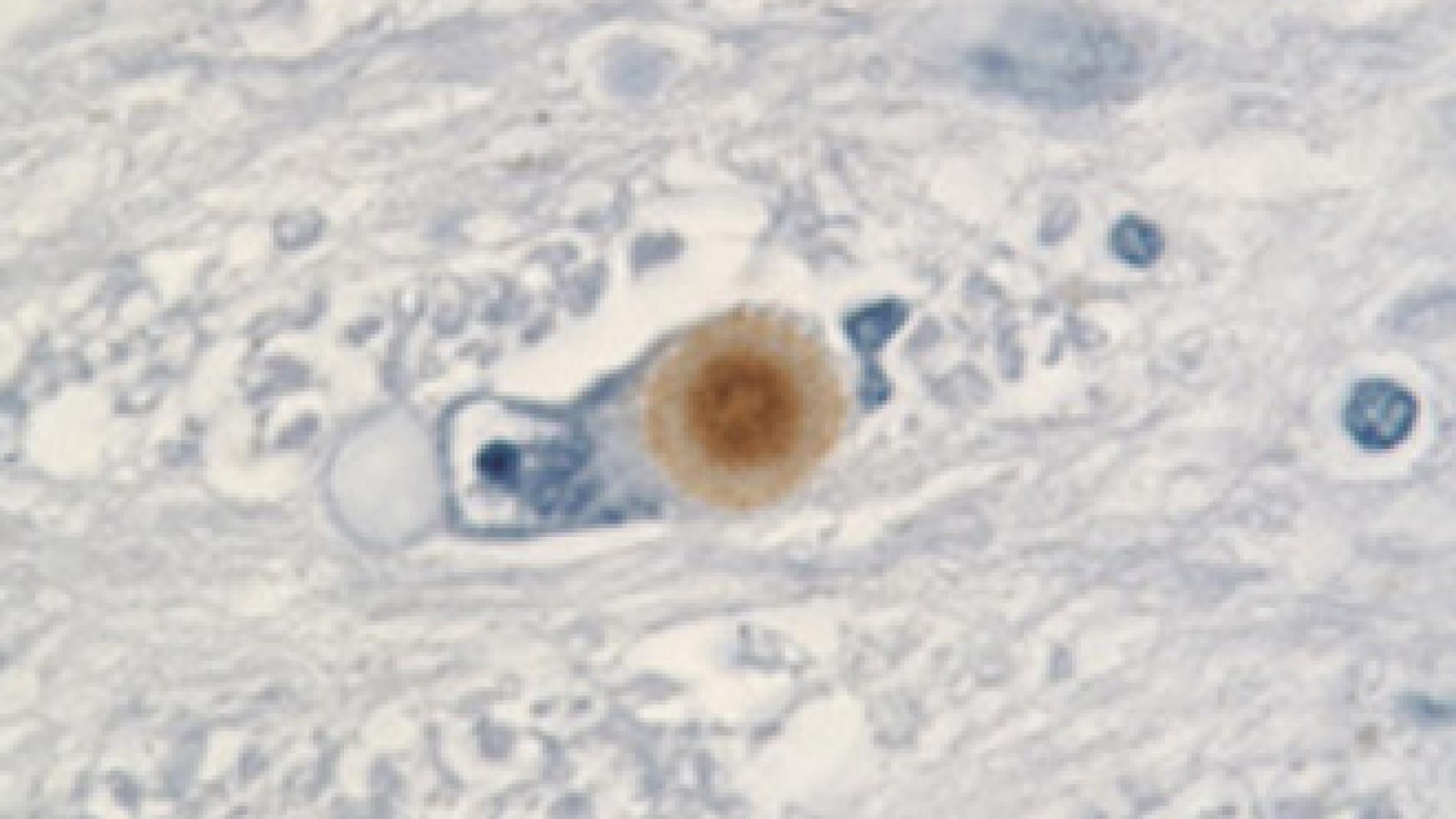
Identifiquen una de les raons de la mort neuronal dels malalts de parkinson

2009_0009_IMATGE

20/10/2009

Investigadors del VHIR han descobert com cúmuls anormals de proteïnes a les cèl·lules nervioses s'associen a la mort neuronal al Parkinson i proposen una nova estratègia terapèutica experimental.

Investigadors del Vall d’Hebron Institut de Recerca (VHIR) presenten els resultats d'un estudi que explica com la presència d'uns cúmuls anormals de proteïnes a l'interior de les cèl·lules nervioses s'associa a la mort neuronal en els malalts de Parkinson. Aquesta recerca planteja també, a nivell experimental, una nova estratègia terapèutica que es podria aplicar potencialment, encara que no de manera immediata, al tractament d'aquesta malaltia, actualment incurable.

Subscriu-te als nostres butlletins i forma part de la vida del Campus

El Vall d’Hebron Barcelona Hospital Campus és un parc sanitari de referència mundial on assistència, recerca, docència i innovació es donen la mà.

CAPTCHA